I was told I dodged a bullet
by Gary Yonek, January 2015
A couple of years ago, when I first set up this blog and thought about writing, I decided to include a category called “life”. I never quite knew why, other than I thought I might want to journal or have a place to ponder and process bigger picture thoughts and ideas. Since then I never felt I had much notable to contribute – until now:
On December 17, 2014 (after 14 consecutive days in the ICU at the University of Toledo Medical Hospital) the head of neurology (the attending doctor of the interdisciplinary medical team overseeing my treatment) stood in my room alongside his team and gave this short, simple, matter-of-fact report: “Mr. Yonek, you dodged a bullet”. They kept me for a few more days of evaluation for OT, physical therapy, and to monitor my blood pressure etc. Then on Friday the 19th they discharged me straight to home, not seeing any need for additional therapy or rehab. What an indescribably amazing outcome. Although quite weak and unsteady from lying still for two weeks, and still substantially medicated, I was able to get up and walk a few steps with the assistance of a walker. After about three days at home I was able to walk unassisted and even began navigating the stairs in our house, albeit very slowly and carefully. I was able to be home for Christmas Eve with my wife and family close by and, most of all, I was well enough to attend my son’s wedding on Dec 28th. My recovery to this point seems significantly ahead of schedule, but I’m being careful to rest and not to push it. I’m still on several medications, mostly for pain management for ongoing headaches from the surgery. Headaches, which I’m told, will last another 4-5 weeks but are quite normal.
…stood in my room with his team and gave this short simple matter-of-fact report: “Mr. Yonek, you dodged a bullet”
The whole episode happened on December 3rd. I was having lunch with a co-worker at a local fast-food place. Suddenly, a few sentences in to our conversation, I felt oddly dizzy and my voice sounded echo’y to me as if I was talking inside a large tin can. Despite several attempts, I just couldn’t complete my thought or finish my sentence. I can remember trying to say to Charles, “I just don’t feel right, I think something is really wrong” – at which point I apparently passed out. Some time later I could vaguely see and hear Charles telling me to “hang in there, the squad is on the way”. Apparently he had assisted me to the floor avoiding any fall or additional physical trauma, called 911, contacted my wife, and contacted our office to request prayer from our staff and to get the initial word out to close friends. He then stayed by my side until help arrived. And for this I’m forever grateful.
One of the many blessings during this entire ordeal was that, aside of the 10 minutes or so that I was unconscious and the time I was in surgery, I had unusual clarity and understanding of what was going on for someone in my circumstances. In fact, that was what I think was most encouraging to the medical professionals – beginning with the rescue squad. When they arrived at the scene I was beginning to answer basic questions with regards to time and place, I knew who I was and I was beginning to remember pertinent information such as address, phone numbers, dates etc. They were all very calm and clear, repeatedly telling me that “I was in the middle of something very serious” and “things were going to happen very quickly”, wanting to make sure I understood as much as possible. Before being life-flighted, the ER doc told us I needed to be calm and still, and that the next 72 hours would be crucial to my survival. As time went on I was encouraged, almost daily, at reports I was getting with regards to my coordination, reflexes, and motor movements. It was hopeful.
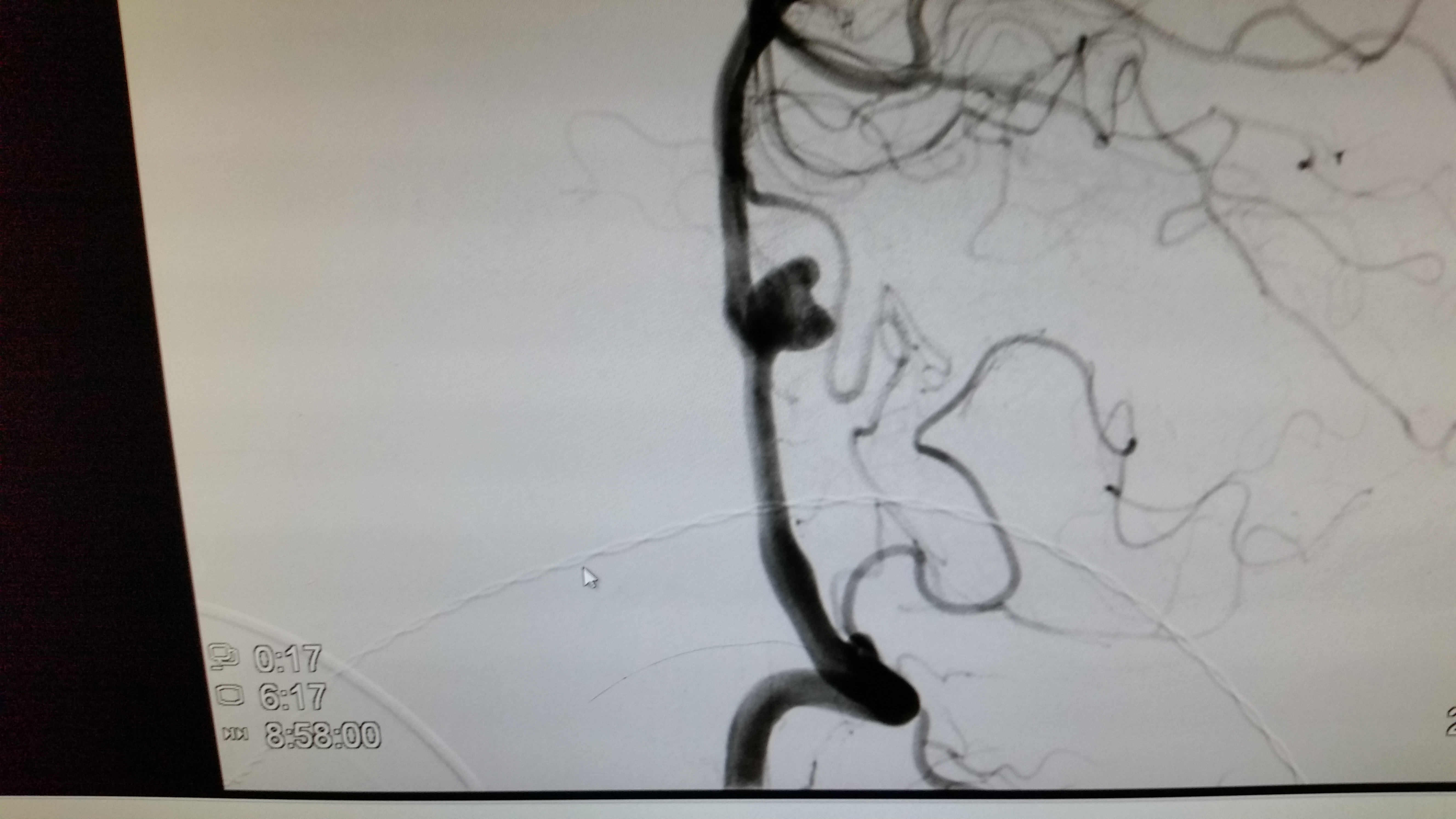
So What Happened? I had experienced a Sub-Arachnoid Hemorrhage
I’ve always been relatively healthy. I have no history of high blood pressure. There is no history of stroke in my family that I’m aware of. There was no advanced notice, no symptoms – it just happened. The short answer: A 1/2″, heart-shaped aneurysm on an artery that supplies blood to my brain, burst in the back of my head, near the base of my skull, and started to fill the lining around my brain with blood. I was told that everything that could have gone right, did. All the things that could have gone terribly wrong, just didn’t. I learned that less than 10% of those who experience this type of brain hemorrhage survive long enough to even get treatment. Of those, less than 10% walk away without some type of negative, long term medical deficiency. It appears that few in my age group (I was 54 y\o) ever experience this type of episode (something like <1% in 135000 men). We don’t know why this happened to me. Why it happened when it did or where it did. God knows. All I know is if it had occurred 20 minutes later I might have been driving my friend back to the office. The next day, I might have been assisting our team on a ladder or hydraulic lift installing projectors or preparing the stage for Christmas Eve rehearsals. Even that morning I could have been on the stairs at home or out in the neighborhood walking the dog. The outcome could have been far more tragic for me and for others. I do believe God protected people that day.
Doctors say that the large aneurysm may have been there my entire life. I could have been born with it. I’m told that it could have a genetic link or it could have just been a total anomaly. Thankfully I survived that first night in ICU and the aneurysm was permanently sealed early the next morning by a team of neurologists using one of two available procedures. In my case the surgeons threaded a line thru an artery up to my brain and filled the aneurysm with a “coil” of about 6″ of thin “wire” filament to permanently block the flow of blood thru it and keep it from being a problem again.
I’m still not quite sure how to mentally process all of this. I still have several weeks of recovery at home ahead of me. The fact that I’m here is indeed a miracle. There is no doubt that the first responders, hospital medical personnel, the life-flight team, and the subsequent surgical specialists brought an amazing amount of skill and urgency to the process of keeping me alive and contributing to my survival, for the most part, unharmed. But the fact that the hemorrhage apparently clotted and stopped by itself as the squad arrived is what probably saved my life and bought the time for all the other medical disciplines to intervene, diagnose, and treat.
So I’m kind of left with “why did this happen?” What’s God’s plan for all this? I guess I have the rest of my life to figure that out. Basically, I have all the time there is.
I’m very thankful to be alive. I enjoy life. I love life. I love my wife, my kids, and their spouses more than anything else in this world. I love my friends and those I get to serve in ministry with. But I can honestly say that throughout this entire ordeal I was at peace. Confused a little, but never anxious or scared about death or the uncertainty of my future. I was indescribably calm and even curious. I remember thinking to myself “wow, really/ so this is how this all ends?” I recall praying in the helicopter as I was being transferred to the stroke center in Toledo and simply saying “Jesus, I really don’t know what’s going on here, but I know you do. And I’m good with that. I don’t really want to die now. I don’t know even what to pray for, but I trust your will, and to take care of me however you wish and that you will be there to take care of my family regardless of my personal outcome.”
The reality was that this situation was so out of my hands. This wasn’t a “if I just try harder I can beat this thing” kind of scenario. I know having a positive attitude is great for one’s health, but the fact is no amount of sheer will or positive thinking or good vibes was going to alter the outcome of something like this – at that moment. Sure I can exercise and maybe watch what I eat, but I really don’t get to decide the outcomes of any of these types of life issues.
I personally believe there is a God. The God of the Bible. I believe Jesus is God and is alive and present in spirit in a very real way. I also understand that I’m not God. I believe God heard the many prayers of friends and family even before they were prayed or before anyone even knew what to pray for. Regardless of the outcome, God was there. He wasn’t surprised or taken off guard by anything. He was with me and, somehow in ways I can’t put into words, He let me know that He was with me. It was never a weird “I’m hearing voices in my head” kind of thing. But more a calming presence and reassurance that He was there and He was every bit concerned about the same things that I was. I just had to trust Him. (Jeremiah 29:11)
I believe with all my being that I will somehow eternally carry on thru my belief in Christ (even though I can’t totally get my cognitive mind around exactly what that might mean or look like.) Faith. And so I also believe God is much more than just some philosophical or intellectual debate over theology or the origin of the world. I believe that even if I had physically died that day, the hope of eternal life would have been no less miraculous or impossible than the medical “miracle” that I seemed to have experienced first hand. And I thank God for every next breath I get to take today and tomorrow and until He decides my time here is complete. Each next day is a gift. That’s grace, that’s love. And this is reality.


What an incredible story! I enjoyed reading how God let you know that He was with you. Isn’t that great to know the God of the universe is the God with us in the fast food restaurant, helicopter, hospital, and home?